


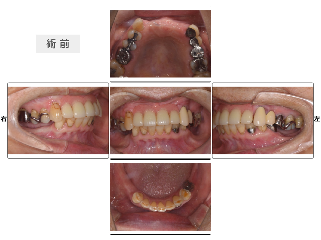
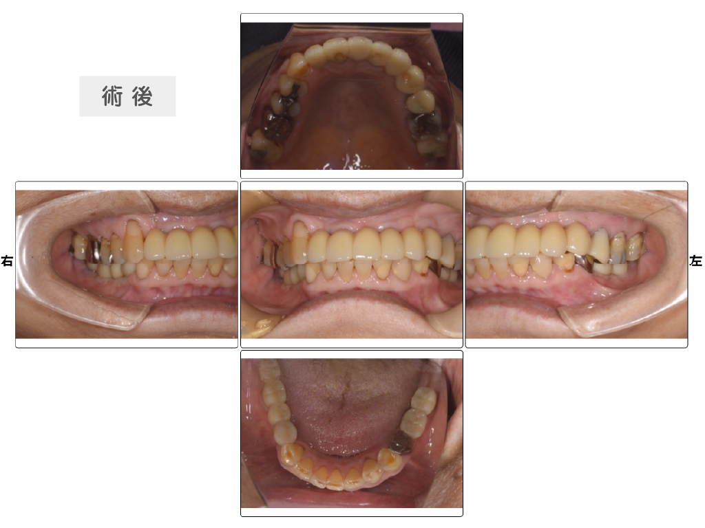
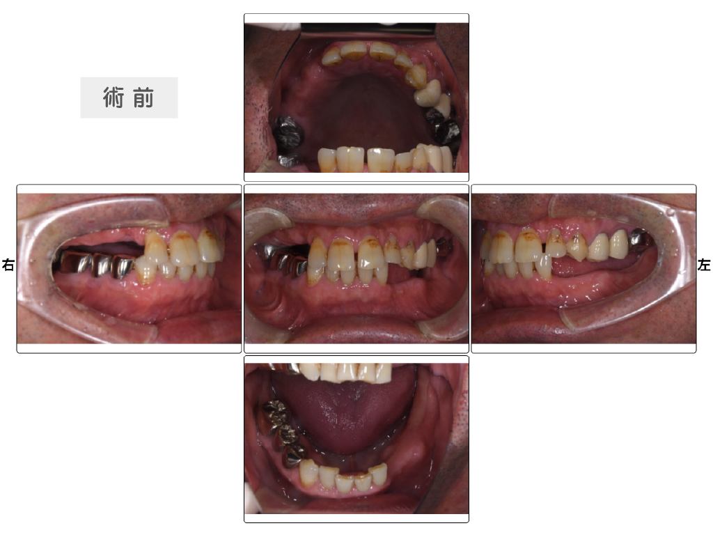
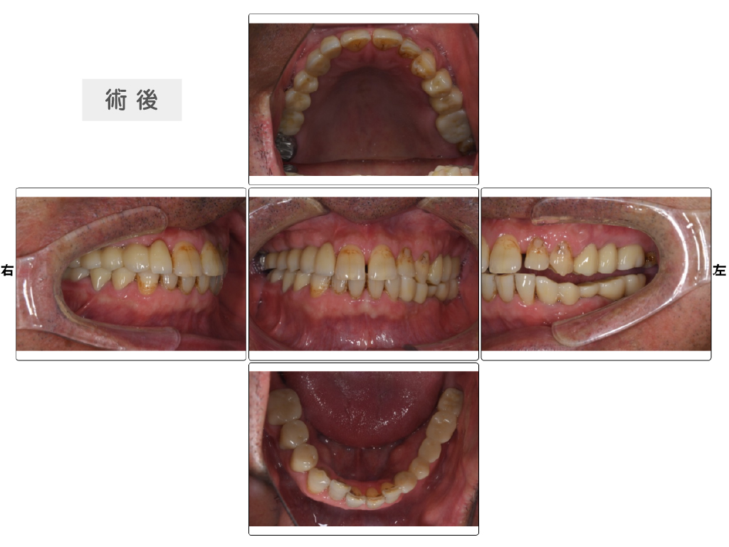
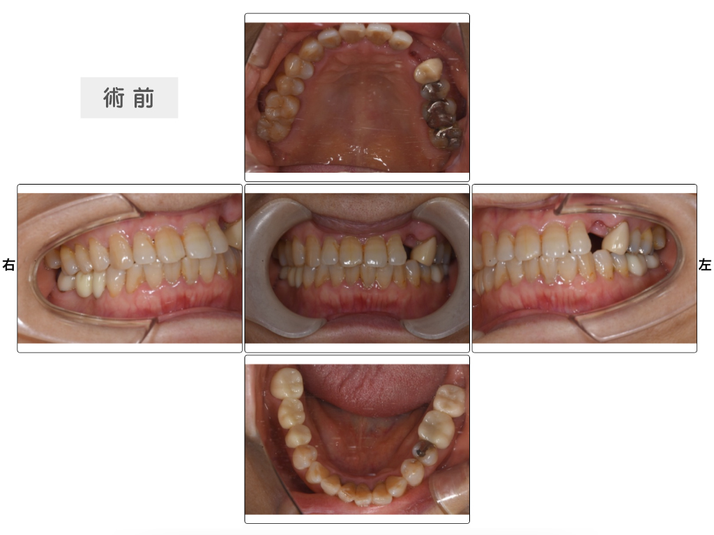
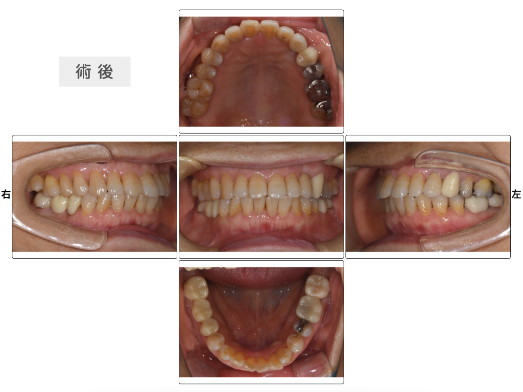
| 年齢 | 80代 |
|---|---|
| 性別 | 女性 |
| 主訴 | 前歯で噛み切れない。入れ歯で硬いものを噛むと違和感がある。 |
| 治療方法 | 上顎前歯インプラントブリッジ 下顎右側臼歯部インプラントブリッジ 下顎左側インプラント |
| 費用 | 4,425,000円 ※治療当時の金額になります。 |
| メリット |
〇交差咬合の解消 〇全体でしっかり噛める 〇入歯のバネがなくなった事による審美性の改善 〇入歯のバネがなくなった事による残存歯への負担減 |
| 主なデメリット・副作用 |
手術が必要 入歯、ブリッジよりも期間がかかる 費用が自費になる |


| 年齢 | 70代 |
|---|---|
| 性別 | 女性 |
| 主訴 | 右上のブリッジがダメになった |
| 治療方法 | 上顎右側臼歯部インプラントブリッジ |
| 費用 | 1,020,000円 ※治療当時の金額になります。 |
| メリット |
〇入歯のバネがかからないので残存歯への負担がない 〇左右奥歯でしっかり噛める |
| 主なデメリット・副作用 |
手術が必要 入歯、ブリッジよりも期間がかかる 費用が自費になる |


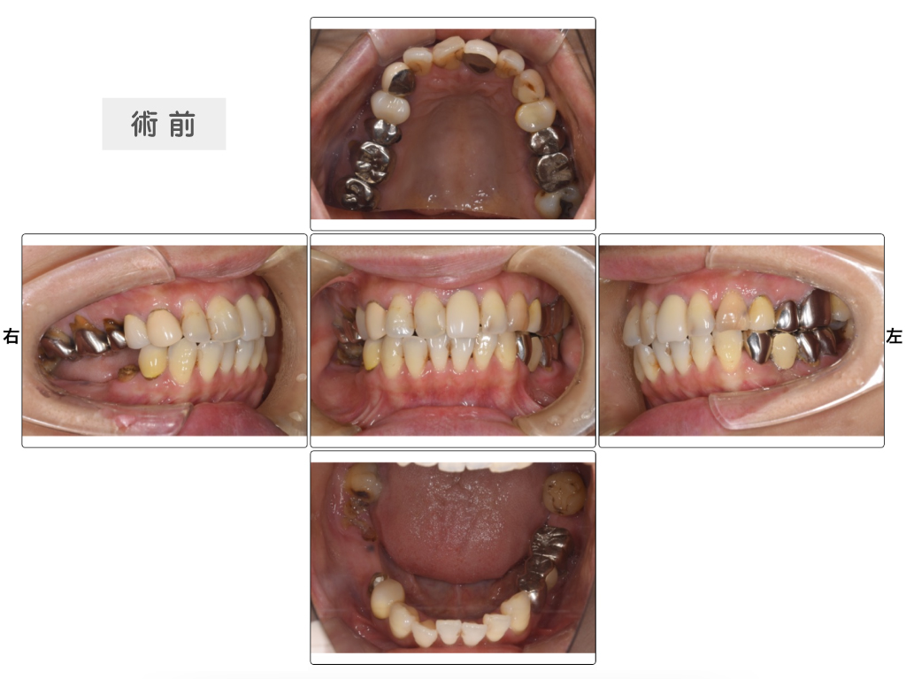
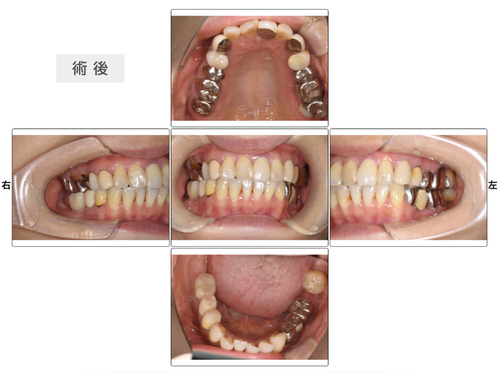
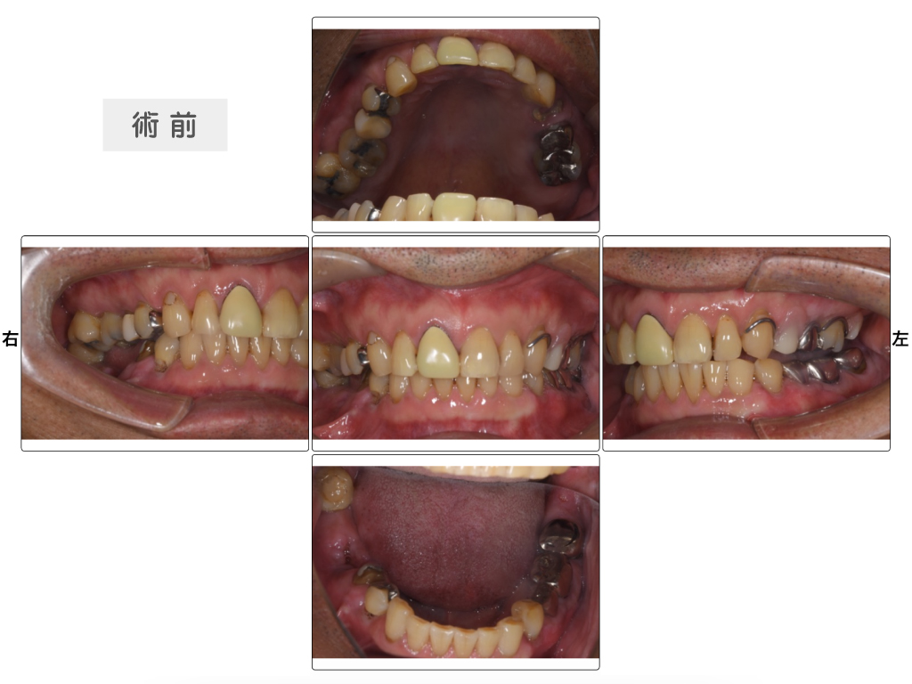
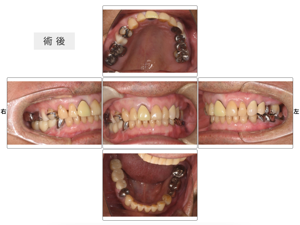
| 年齢 | 70代 |
|---|---|
| 性別 | 男性 |
| 主訴 | 入歯を入れた状態で話しづらい、噛みあわせが悪い 噛むと痛いときがある |
| 治療方法 | 下顎臼歯部インプラントブリッジ |
| 費用 | 1,934,000円 ※治療当時の金額になります。 |
| メリット |
〇交差咬合の解消 〇奥歯でしっかり噛める 〇入歯使用による話しづらさ改善 〇入歯使用による痛みがなくなる 〇入歯のバネがなくなった事による残存歯への負担解消 |
| 主なデメリット・副作用 |
手術が必要 入歯、ブリッジよりも期間がかかる 費用が自費になる |


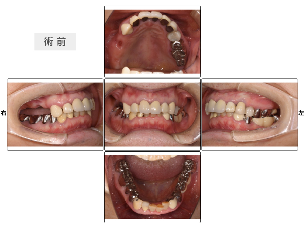
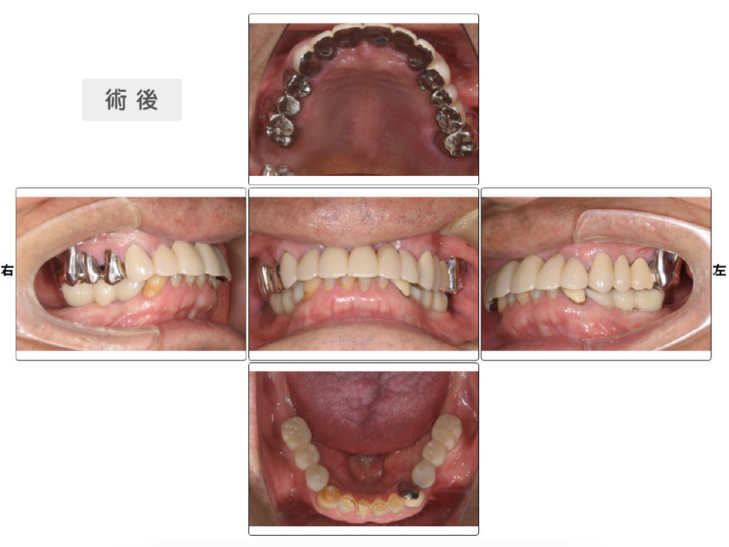
| 年齢 | 60代 |
|---|---|
| 性別 | 男性 |
| 主訴 | 以前作った入歯が合わず使用していない |
| 治療方法 | 上上顎右側臼歯部インプラント 下顎左側臼歯部インプラントブリッジ |
| 費用 | 3,824,000円 ※治療当時の金額になります。 |
| メリット |
〇交差咬合の解消 〇奥歯でしっかり噛める 〇入歯使用による違和感・異物感からの解放 |
| 主なデメリット・副作用 |
手術が必要 入歯、ブリッジよりも期間がかかる 費用が自費になる |


| 年齢 | 40代 |
|---|---|
| 性別 | 女性 |
| 主訴 | ブリッジがダメになり、入れ歯になると言われたが入歯は入れたくない |
| 治療方法 | 下顎右側臼歯インプラント |
| 費用 | 521,000円 ※治療当時の金額になります。 |
| メリット |
〇入歯のバネがかからないので残存歯への負担がない 〇入歯のバネがかからない事による審美性 〇左右でしっかり噛める 〇入歯の手入れ、調整、作りなおしがない 〇入歯の違和感・異物感がない |
| 主なデメリット・副作用 |
手術が必要 入歯、ブリッジよりも期間がかかる 費用が自費になる |


| 年齢 | 70代 |
|---|---|
| 性別 | 女性 |
| 主訴 | 上顎左側犬歯根が割れて抜歯になった |
| 治療方法 | 上顎左側犬歯インプラント、増骨 |
| 費用 | 697,000円 ※治療当時の金額になります。 |
| メリット |
〇入歯、ブリッジでないので残存歯へバネをかけたり削る必要がないため負担がかからない 〇入歯やブリッジの手入れ・作りなおしがない 〇入歯の違和感・異物感がない |
| 主なデメリット・副作用 |
手術が必要 入歯、ブリッジよりも期間がかかる 費用が自費になる |


| 年齢 | 70代 |
|---|---|
| 性別 | 男性 |
| 主訴 | 下顎右側ブリッジがだめになった |
| 治療方法 | 下顎右側臼歯部インプラントブリッジ |
| 費用 | 1,091,000円 ※治療当時の金額になります。 |
| メリット |
〇入歯のバネがかからないので残存歯への負担がない 〇入歯やブリッジの作りなおしがない 〇入歯の違和感・異物感がない |
| 主なデメリット・副作用 |
手術が必要 入歯、ブリッジよりも期間がかかる 費用が自費になる |


| 年齢 | 60代 |
|---|---|
| 性別 | 女性 |
| 主訴 | 下顎左側臼歯部入れ歯を入れていたが合わなくなり使っていない |
| 治療方法 | 下顎左側臼歯部インプラントブリッジ |
| 費用 | 959,000円 ※治療当時の金額になります。 |
| メリット |
〇入歯使用による違和感・異物感からの解放 〇入歯の手入れ・調整・作りなおしがなくなった 〇左右奥歯でしっかり噛める |
| 主なデメリット・副作用 |
手術が必要 入歯、ブリッジよりも期間がかかる 費用が自費になる |
ネットでの無料相談・予約はこちら
ネット相談・予約